
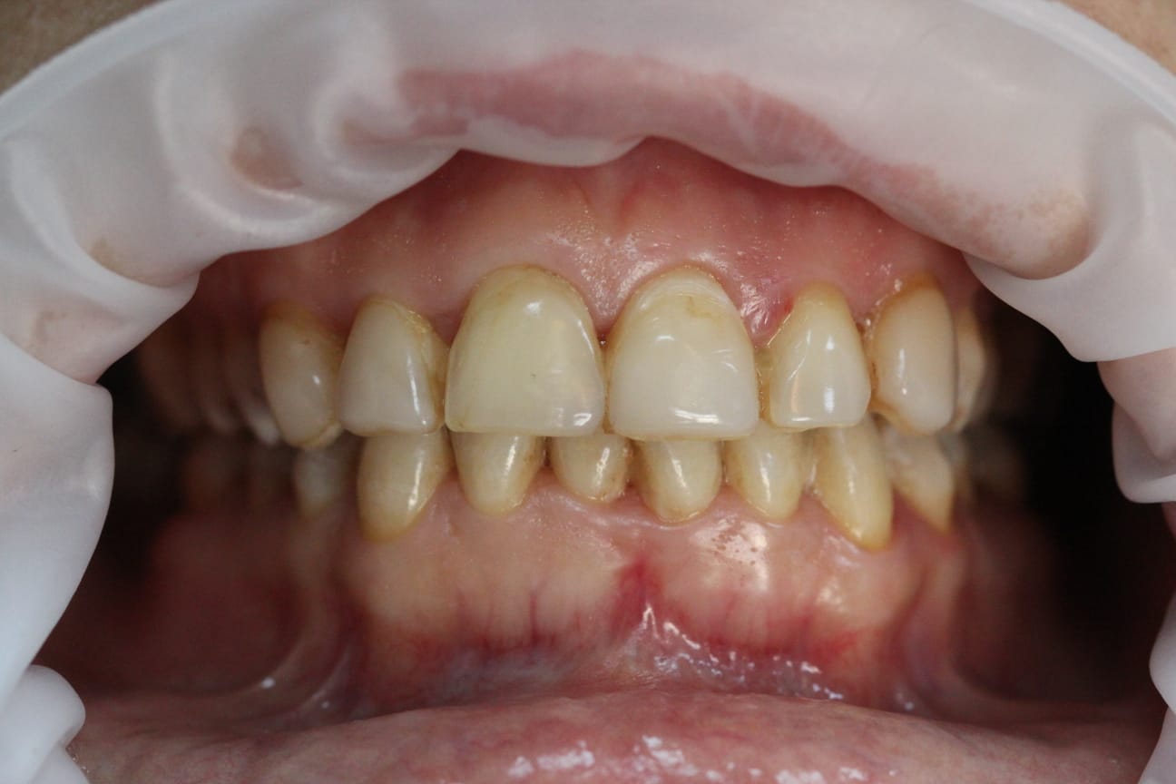
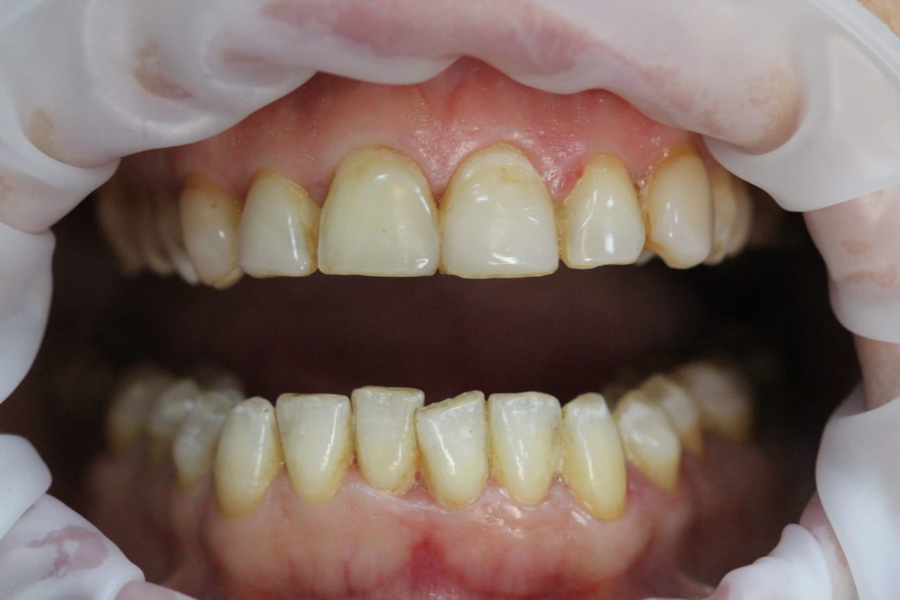
Chiamate anche faccette estetiche,sono dei sottili strati di ceramica che vengono applicati i denti,rivestendoli,coprendo Cosi eventuali difetti, sia di forma che di colore. La resa estetica di questo trattamento è notevole anche se nn bisogna mai perdere di vista la "salute del dente". Presso il nostro studio è possibile effettuare questo trattamento in poche ore grazie al rivoluzionario sistema #CEREC,sistema di chair side,protesi fissa alla poltrona. Per qualsiasi informazione o curiosità non esitate a contattarci.Buon sorriso a tutti!😁

